Innovation. Präzision. Perfektion - seit über 25 Jahren!
Besuchen Sie uns
An der Schmitte 17, 42781 Haan
Rufen Sie uns an
+49 (0)2129 / - 8021
Öffnungszeiten
Mo - Fr: 8:00 - 17:00
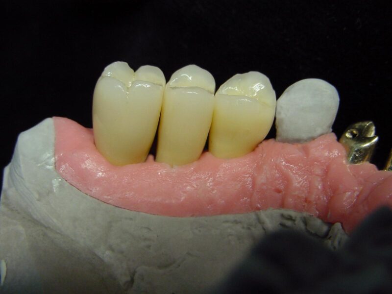
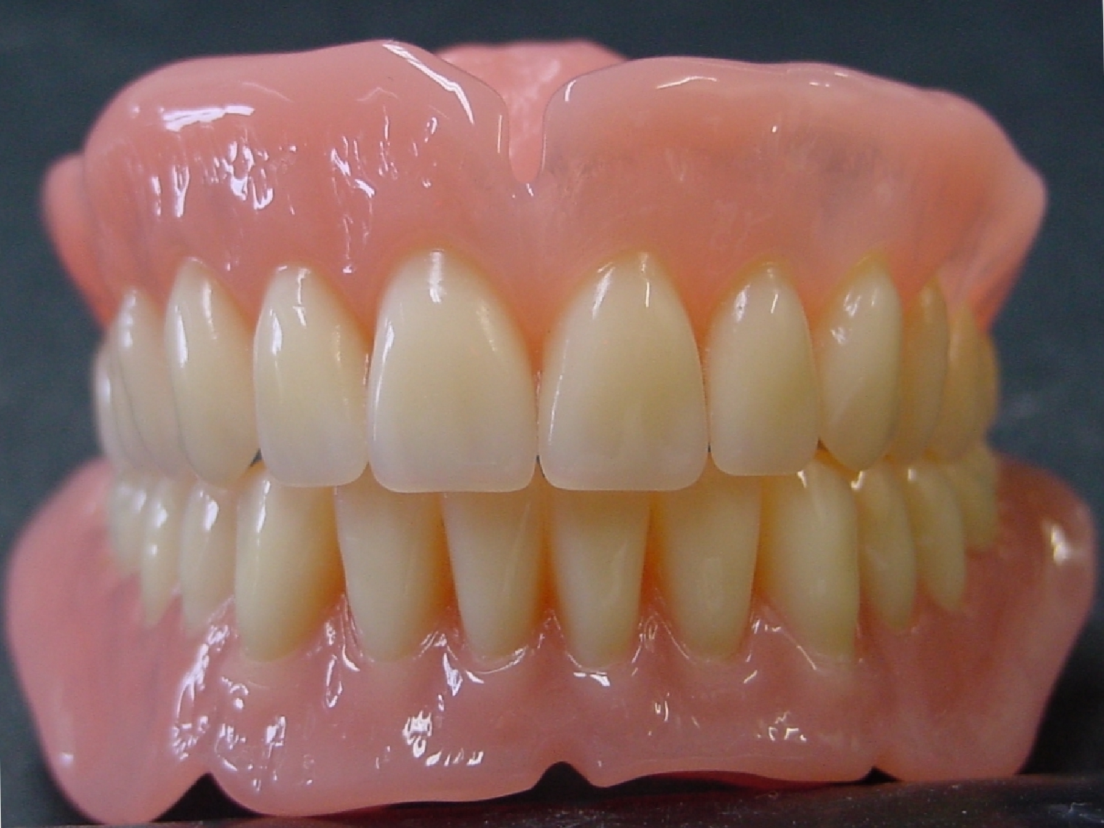
Zahnersatz
Home
Zahnersatz
Home
Labor
Leistungen
Ausstattung
Team
ZTM Siepermann
Buchhaltung
Kompetenzen
Moderne Verfahren
Service
Schmuck
Galerie
Zahnersatz
Schmuck
V-Übersicht
Jobs
Kontakt
Zahnersatz
Consulting
Get in touch with us today
Make an enquiry